There’s a virus you may have never heard of before that is estimated to infect up to 90 percent of people and lurks quietly in your cells for life—but if it becomes activated, it will destroy your brain. If that’s not startling enough, researchers reported this week that there may be a new way for this virus to activate—one that affects up to 10 percent of adults worldwide.
The virus is the human polyomavirus 2, commonly called either the JC virus or John Cunningham virus, named after the poor patient from whom it was first isolated in 1971. It shows up in the urine and stool of infected people and spreads via the fecal-oral route. Many people are thought to be infected early in life, and blood testing surveys have suggested that 50–90 percent of adults have been exposed at some point.
Researchers hypothesize that the initial site of infection is the tonsils, or perhaps the gastrointestinal tract. But wherever it happens, that initial infection is asymptomatic. At that point, a person is infected with what’s called the archetype JC virus, which quietly sets up a persistent but utterly silent lifelong infection.
For the vast majority of people, that is all their JC virus infection will be—silent. But for an unlucky few, the JC virus will seemingly awaken, rearrange its genetic material, and morph into a brain-demolishing nightmare that causes a disease called progressive multifocal leukoencephalopathy or PML.
Devestating disease
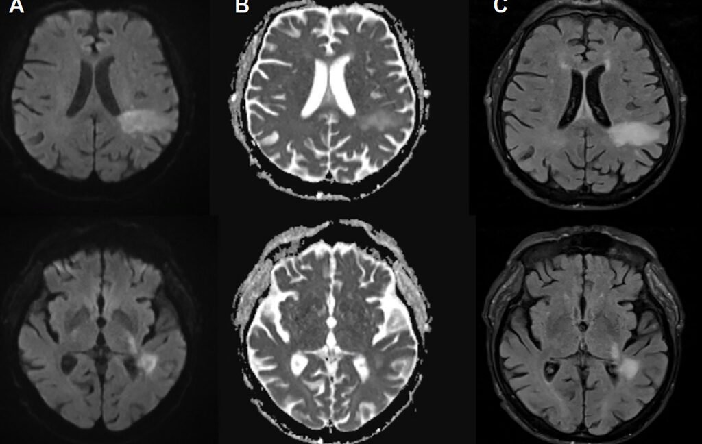
In PML, the new disease-causing virus or “PML-type” JC virus actively invades the brain, blowing up specific brain cells, including the cells that form the insulating myelin sheaths that protect nerve cells. This leads to extensive demyelination, which results in nerve cell dysfunction and death. On imaging, PML can show up as signature lesions in the brain. Those imaged lesions, paired with test findings of JC virus DNA in cerebrospinal fluid, are how PML is diagnosed. But for patients experiencing PML, the symptoms can mimic everything from a stroke to multiple sclerosis, causing problems like speech impairments, visual defects, motor dysfunction, and seizures.
PML was first identified in 1958 in a cancer patient. But it was considered an extremely rare condition until the 1980s, when it started to be seen in patients with HIV/AIDS. In fact, PML became an AIDS-defining disease, with 2–5 percent of HIV-infected patients developing it in the early phase of the epidemic. At that point, the condition was uniformly fatal. But with the introduction of highly active antiretroviral therapy (HAART) in 1996, PML cases declined, and the disease was no longer a death sentence, though survivors often have significant lasting damage.
Expanding cases
In the decades since its discovery, PML has universally been considered a disease that strikes amid profound immune suppression. It’s thought that the JC virus can activate and rearrange itself into the PML-type only in the absence of normal immune surveillance. And the restoration of immune responses—such as with HAART treatment in HIV-infected patients—can prevent or beat back PML. Beyond certain cancers and HIV/AIDS, PML can sometimes be seen in people taking relatively new, powerful immune-suppressing drugs, which they may take for multiple sclerosis or certain auto-immune diseases. Overall, though, it’s estimated that PML cases worldwide occur only in about 2 in 100,000 people.
But in a new case study reported this week in the Annals of Internal Medicine Case studies, researchers in New York report the case of PML in a patient without profound immune suppression. Instead, the patient had chronic kidney disease (CKD)—a condition that affects around 10 percent of adults worldwide. CKD can lead to toxins building up in the blood that impair immune cells, cause chronic inflammation, and diminish viral surveillance, they note.
Their 72-year-old patient had stage-5 CKD, which is basically when the kidneys have failed. He went to the hospital, though, for neurological problems. For the week prior, he was having trouble finding words, was often confused, and was generally weak. Doctors at the hospital confirmed his speech issues and started running tests.
Initially, they thought his neurologic problems were due to uremic encephalopathy, decreased brain function from toxin accumulation during kidney failure. They treated him with dialysis, but his word-finding difficulty only worsened. At that point, they did brain imaging, which revealed lesions seen in PML cases. Soon, testing on his cerebrospinal fluid confirmed the presence of the JC virus in his central nervous system. Two days later, the patient died.
The authors note that, while sparse so far, the scientific literature includes at least a few other cases of PML in CKD cases. In all, they conclude that “CKD joins the expanding spectrum of conditions predisposing to PML through noncanonical immunosuppression. As CKD prevalence rises globally, heightened vigilance for this devastating complication is imperative.”







